 
        
        
      
    
    Root Canal/Endodontics
Why get a root canal treatment?
An endodontic treatment saves a severely injured, cracked, or decayed tooth when its pulp (the soft inner tissue inside a tooth's root canal) becomes inflamed or infected. If it is not treated promptly, pain or a tooth abscess (infection) result. Endodontic treatment is also known as a "root canal."
Root canal treatment is completed in one or two office visits, depending on the presence of infection and the required treatment plan. After restoration, the tooth continues to function like any other tooth. With good oral hygiene, the restored tooth has the potential to last a lifetime.
What are some common symptoms?
You may need to see a root canal doctor if you experience any of these symptoms:
- Tooth or gum pain, discoloration, or prolonged sensitivity to heat or cold 
- A tooth that is tender when it is touched 
- A tooth abscess (pus enclosed in the tissues of the jawbone at the tip of an infected tooth) 
- Pus drainage in your mouth 
- Swelling or tenderness in the lymph nodes under your jaw 
- Sometimes an endodontic problem can exist without warning signs. In these cases, digital x-rays taken during a routine dental checkup will reveal the tooth damage. 
What is a root canal treatment?
Root canal treatment involves the removal of the diseased pulp along with the tooth's nerve (located within a tooth's root canal). The pulp chamber and root canal(s) of your tooth are then cleaned, medicated and sealed. A dental crown or other restorative treatment is used to protect and strengthen the tooth.
What happens after I am diagnosed?
After reviewing a digital x- ray of your tooth, your dentist will thoroughly examine your teeth, gums and supporting bone structure, recommend a treatment plan, discuss it with you, and answer your questions. If root canal therapy is needed:
- Local anesthetic is applied to the affected tooth and surrounding area 
- A small, protective sheet called a "dental dam" is used to isolate the tooth to keep it clean and free of saliva during your procedure 
- An opening is made in the top of the tooth and your dentist will remove the soft pulp and nerve and then shape the interior for filling 
- The root canal is cleaned, medicated, and filled with a rubber-like biocompatible material (gutta percha) 
- You will then receive a permanent restoration, such as a crown or filling to protect the tooth 
Still don’t understand what really goes on during a root canal? Take a look at this storyboard presented (and treated) by Dr. Brian L. Vu.
Root Canal Therapy: A Tooth’s Journey From Trauma to Health
Every tooth deserves a second chance
Step 1: Imaging and Diagnosis
The first step in root canal therapy is establishing the right diagnosis and deciding whether the tooth can be saved - this means having a frank conversation with the patient and exposing an x-ray. This x-ray reveals a LARGE, INTIMIDATING cavity (middle tooth) that most dentists would elect to extract. However, the patient was very motivated to save his tooth and did not want it extracted. Luckily for the patient, Dr. Brian Vu is even more motivated than him. Let’s see what the tooth looks like in real life.
Step 2: Root Canal Therapy From Start to Finish
Under high magnification, we see a large silver filling that has certainly seen better days. Who knows how much unresolved trauma this tooth has hiding underneath its fragile exterior? Let’s open up the tooth and find out.
WOW! That’s a lot of nasties hiding underneath that silver filling! Please note the large amount of carious tooth structure and residual gums growing in the tooth. All of that in the CROWN portion of the tooth needs to be removed before we can proceed to the next step of cleaning the ROOT CANAL system.
That looks so much better doesn’t it? It’s starting to resemble a tooth now. A temporary pre-endodontic buildup (fancy way of saying filling) was made and 4 canals were found, shaped, and cleaned. The last step is to seal the roots of the tooth so no bacteria can ever enter it again.
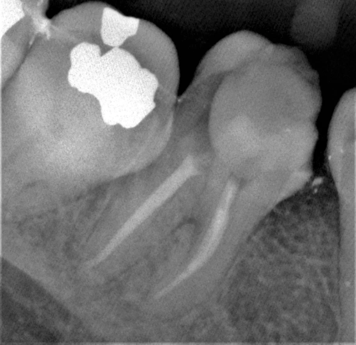
And voila! That’s the root canal finished. The pink circles are the root sealer complex - Dr. Vu uses a state of the art bioceramic sealer. It’s important to note that the WHOLE root must be cleaned and sealed, meaning that if we are even 1mm short of the root, the root canal may fail! Let’s take a post operative x-ray to check our work.
The x-ray looks fantastic with all disinfection and sealing materials completely making its way to the end of the root. The tooth has 3 roots and 4 canals (if you look carefully, 1 canal joins another canal). That’s a lot of work, but we aren’t done yet. It’s time to put the tooth back together.
Step 3: Post, Core Build-Up, and Crown
After removal of the temporary build up material, we can appreciate how how over 66% of the tooth’s structure is gone. In this case, a post is required - a post helps hold the filling and crown in place. The post is the brass colored screw in the middle of the tooth and it is screwed/ cemented into place.
The tooth is then filled back up and conservatively shaved down in preparation for a porcelain crown. After controlling the bleeding, an impression is taken and a temporary tooth made. The patient will come back in two weeks for permanent cementation of his crown. Pictured is the tooth immediately after tooth preparation and before heme control.
Step 4: Final Delivery of the Crown
Here is the final crown cemented on! Considering what the patient started out with, I think it’s safe to say that this case is a huge success. All that’s left to do is for the patient to wear it in good health and form lots of memories with it. Here’s to a long and healthy tooth!
Let’s take a look at x-rays of the crown: the crown fits well with no gaps between the tooth and the crown. Gaps in the crown are places of food/ bacterial trap and we want to avoid them as much as possible. Please note that one side of the crown is deeper than the other (that’s the side with the huge hole that the gums grew into). You can also appreciate the screw post cemented inside of the tooth!
Well, that’s all she wrote folks. It’s been a long journey from start to finish, but it was well worth it. I hope by the end of this storyboard you’ll have gained a greater understanding of root canal therapy and an increased motivation to save your tooth.
If you’re experiencing pain or thinking about saving your tooth, I would like nothing more than to schedule a time to talk about your situation and what your options are. Like every human being on this planet, teeth also deserve a second chance. Cheers.
Additional Root Canal Cases
Here are some additional root canal cases done by Dr. Brian Vu for your appreciation. Enjoy :)


 
            
              
            
            
          
               
            
              
            
            
          
               
            
              
            
            
          
               
            
              
            
            
          
               
            
              
            
            
          
               
            
              
            
            
          
               
            
              
            
            
          
               
            
              
            
            
          
               
            
              
            
            
          
               
            
              
            
            
          
               
            
              
            
            
          
               
            
              
            
            
          
               
            
              
            
            
          
               
            
              
            
            
          
               
            
              
            
            
          
               
            
              
            
            
          
               
            
              
            
            
          
               
            
              
            
            
          
               
            
              
            
            
          
               
            
              
            
            
          
               
            
              
            
            
          
               
            
              
            
            
          
               
            
              
            
            
          
               
            
              
            
            
          
               
            
              
            
            
          
               
            
              
            
            
          
               
            
              
            
            
          
               
            
              
            
            
          
               
            
              
            
            
          
               
            
              
            
            
          
               
            
              
            
            
          
              