 
        
        
      
    
    Crowns
Overview
If you have missing or damaged teeth, a dental crown (single tooth) or bridge (multiple teeth) can help restore the function and aesthetics of your smile. Even for patients who are diligent about their home care, it is not uncommon to need a tooth repaired or replaced at some point. If problems should arise with your smile, you can rest assured that we will restore your teeth with only the finest dental materials so you will have strength and durability you can trust, and the aesthetics you want. Our team has extensive experience with restorative dental treatments and can easily provide you with a beautiful dental crown that looks and feels completely natural.
If you have a tooth that needs repair or replacement, it’s a good idea to consider treatment as soon as possible to avoid further damage to your smile. Contact IVY DENTAL today for more information and to schedule your dental appointment.
| DENTAL CROWNS
A dental crown is a false tooth made of ceramic porcelain that is designed to cap and cover your entire remaining tooth structure and protect it from further damage. These prostheses may be necessary if you have a severe cavity that is too large to treat with a composite filling. If a cavity is too large, attempting to fill it may compromise the tooth structure and simply cause more damage. After root canal therapy, a dental crown is necessary to protect and cover your tooth. A dental crown is also necessary to complete the implant process.
Typically, a dental crown is recommended when a tooth has become seriously damaged due to tooth decay or an oral injury, but they can also be used for cosmetic purposes. For example, if you have a tooth that is healthy but small or misshapen, a dental crown can be used to create a seamless, beautiful smile.
When your dentist recommends a tooth crown, it is typically for these reasons:
- For a decayed tooth that is more than a filling can repair 
- For a severely cracked, fractured, or broken tooth 
- To strengthen a tooth treated with root canal therapy 
- For a single tooth replacement for a dental implant 
- To cover chipping, discoloration, or other cosmetic imperfections. 
We design a crown to cover your entire tooth structure, fitting over your remaining tooth like a “cap.” Usually, we make it out of ceramic porcelain, which is customized to match your teeth and blend flawlessly with your smile. However, sometimes, gold is recommended for durability for molars at the back of your mouth that take the brunt of your biting force, and you won’t see when you smile.
| DENTAL BRIDGES
A dental bridge can be a solution for replacing one or multiple missing teeth that are adjacent. Using a crown on each end as an anchor, an artificial tooth or teeth are placed in between to fill in the gap. A bridge is fixed, which means that we permanently place it, and it is not removable.
At IVY DENTAL we typically use porcelain or porcelain fused to metal to create dental bridges that are seamless and complement your smile.
Whether you need a tooth crown or dental bridge to restore your smile, the process to complete your restoration is nearly the same. It will require two visits with your dentist and a couple of weeks to complete.
During your first appointment, your dentist gets your tooth ready for your new restoration, takes impressions of your teeth for the dental lab, and creates a temporary restoration for you to wear until we complete your final one.
A trusted dental lab will handcraft your restoration, which typically takes one to two weeks. When it’s ready, you’ll return to our dental office to have it permanently placed and adjusted to fit your bite correctly. Now you can enjoy all the benefits of eating and smile with your newly restored teeth!
Tooth Crown Types
Your dentist will recommend the best type of crown for your dental restoration needs based on the chewing placement and structure of the tooth or implant that requires protection. There are three types of crowns. Each type has its own characteristics and qualities:
Full Porcelain
Porcelain is attractive, strong, stable, and highly resistant to wear. It offers a high level of biocompatibility because it does not contain metal.
A porcelain crown provides the best natural color match to the rest of your teeth and is an excellent choice for front teeth.
Full-Metal
Metal offers strength and endurance. A metal crown may be recommended for back teeth where the forces of biting and chewing are the greatest. A metal crown rarely chips or breaks. In addition, it requires minimal removal of tooth structure.
A gold or other high-noble metal crown offers biocompatibility. A base metal crown is often the least expensive treatment options; however, it lacks biocompatibility and may cause allergic reactions or gumline discoloration.
Porcelain-Fused-to-Metal
Porcelain-fused-to-metal offers the benefits of a natural surface color that resembles the rest of your teeth and the strength of a metal substructure.
While there are several advantages to selecting this type of crown, it requires the removal of more tooth structure than other types of crowns. This means that there is greater potential for patient discomfort during the treatment procedure.
Patient Experience
After a thorough exam of your teeth, gums and supporting bone structure, your dentist will discuss treatment options with you and answer your questions. If the agreed upon-treatment is a dental crown, your dentist will apply a local anesthetic to prepare your tooth or dental implant.
After your tooth or dental implant has been prepared and shaped for a crown:
- A putty-like material is used to make impression of your prepared teeth. Your crown will be fabricated for a precise fit based on this impression. 
- You will be fitted with a temporary crown to protect your tooth/implant and gums until your permanent crown has been fabricated. 
- During a second office visit, your dentist will fit your permanent crown and bond it to your tooth or dental implant. 
Real Life Cases
If you made it this far it means you’re really interested! Let’s take a look a some completed cases.
Case 1
A tooth with a large cavity underneath an amalgam filling close to needing a root canal. With timely intervention, we can avoid a root canal and restore the function and aesthetics of the tooth! (Katana Zirconia | Kuraray Noritake)
Caries removal, build up, and crown preparation/ impression/ delivery performed by Dr. Brian L. Vu
This young patient presents with a mild- moderate sensitivity due to a large cavity on her lower first molar. Careful removal of cavities will be needed to avoid damaging the nerve inside of the tooth. During this visit, the infected tooth structure will be removed, built back up, and an impression made for a zirconia crown.
All the caries removed and a white filling/ build up completed. An accurate impression and temporary is made and the patient is closely monitored for sensitivity and pain.
Final cementation of the zirconia crown. Please note the precise fit of the crown and presence of healthy gums. The patient was able to AVOID a root canal and her sensitivity will decrease to normal levels in a couple of weeks.
Case 2
An aesthetically challenging case demonstrating large caries and tetracycline staining on four maxillary anterior teeth (EMax).
Caries removal, build up, and crown preparation/ impression/ delivery performed by Dr. Brian L. Vu
This patient presents with large cavities on her 4 front teeth. Her teeth have tetracycline staining so shade matching will be extremely challenging. To restore full functionally and aesthetics, full porcelain E-Max crowns are indicated. Pictured are the four maxillary teeth immediately after preparation of the tooth.
After impressions are taken, temporary crowns are fabricated for the patient. What, you thought we were going to let the patient walk out the door with shaven down teeth? The patient is then scheduled for two weeks for final crown cementation.
Pictured are the final crowns cemented into place. Long term prognosis for these crowns are excellent.
Case 3
A posterior bridge case that involves a history of vertigo, sinus infection, and ENTs due to an infected first molar. See how Dr. Vu resolved and restored this patient’s infected tooth with a 3-unit porcelain bridge (Porcelain Fused to Metal).
Surgical extraction, caries removal, build up, and bridge preparation/ impression/ delivery performed by Dr. Brian L. Vu
The extraction will not be shown due to the graphic nature.
This patient presents to IVY DENTAL with intense pain and swelling on her upper right cheek. She could not get emergency treatment at any dental office and the nearest appointment was two weeks away. 2D and 3D (CT scan) x-rays reveal a MASSIVE infection that extends into her sinus on a previously root canal treated first molar. Extraction of the first molar is needed - Implants are NOT indicated for this patient due to the presence of a large infection. As a result, Dr. Vu opted for a 3-unit porcelain bridge for the patient. Pictured is a three week followup of the extraction.
The patient was kept on temporaries for six weeks to allow for full healing of her bone/ gums before taking the impression for her final bridge.
Pictured is the final delivery of the patient’s 3-unit bridge. Please note the great healing of the patient’s gums and wonderful fit of the bridge. The patient’s swelling went away, and the patient is able to chew on her right side again.
Case 4
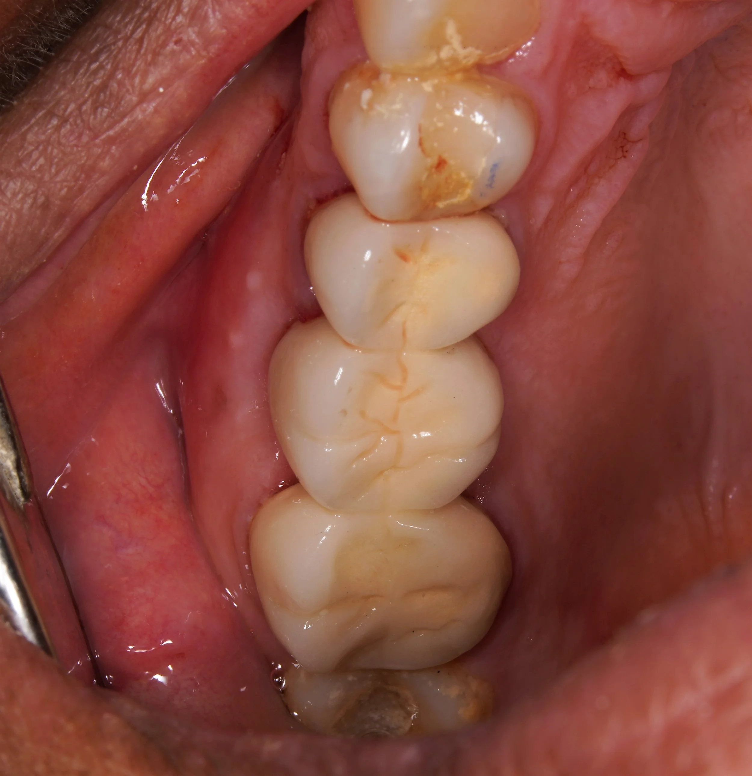
This patient presents to our office with a root canal, post, and build-up on teeth #30 and 31 done by another dentist. See how Dr. Vu used high quality zirconia to restore the function and aesthetics of these two teeth (Katana Zirconia | Kuraray Noritake).
This patient presents to IVY DENTAL with a root canal, post, and build-up done by another dentist 3 days ago. You can see how the cavity was deep below his gums and his tissues are still healing. He needs a crown ASAP before his tooth cracks or the filling become leaky.
Crown preparation two weeks post op. The tissues are healing nicely.
Final cementation of zirconia crown #s 30 and 31. The gums look impeccable, and the crowns look great. The patient was informed to be fastidious about flossing in between the two crowns since his margins (where the crowns seal) are very deep. Just because a tooth has a root canal and crown, does not mean it is immune to cavities.
Case 5
An emergency situation where a patient fractured her front tooth! We were able to see her same day to remove the broken tooth and fabricate a provisional for her before delivering her final bridge (Porcelain fused to Zirconia).
Extraction, caries removal, build up, and bridge preparation/ impression/ delivery performed by Dr. Brian L. Vu
The patient presents with a broken upper right lateral incisor after eating banh mi (Vietnamese sandwich). It’s way too early for Halloween so patient understandably wants this issue fixed ASAP. This procedure will involve extractions, provisionalization, and delivery of a porcelain bridge.
The tooth is atrumatically extracted and a provisional made for the patient. She will be on this provisional for about 6-8 weeks to let her gums heal before taking the final impression.
The two pictures show final delivery of her porcelain bridge. Please note the gingival anatomy of the extraction site - it is cupped shaped and cradles the “fake” tooth naturally. It all comes down to the provisional shaping the gums for the final bridge. Now all there is to do is to wear it in good health!
Case 6
Because ya’ll liked the previous case so much, how about another broken front tooth case? Not much to say here since the process is largely the same as before. The only difference is the material - Emax vs PFZ in case 5. Warning: graphic extraction photos!
Extraction, caries removal, build up, and bridge preparation/ impression/ delivery performed by Dr. Brian L. Vu
Intraoperative photo showing the extraction and rough preparation done. The preparations will be refined again on the impression date to account for gum shrinkage etc.
Temporary made. The patient will be on this temporary for approxmiately 6 weeks before returning to us for final impressions.
Case 7
Historically, dentists placed have always function ahead of aesthetics, but I’d argue that those values are flipped in modern dentistry. With high aesthetic demands being the norm in California, it is no longer acceptable to restore function if it doesn’t look good. With advancements in dental materials, we no longer have to choose between the two. (BruxZir)
Caries removal, build up, and bridge preparation/ impression/ delivery performed by Dr. Brian L. Vu
Final cementation of the EMax bridge. Note the healthy gingival contour and precise fit of the bridge.
Preoperative photo of a gold bridge done in Mexico. Gold is an AMAZING dental material, but not really used anymore in modern dentistry because well, it looks like gold. Making her a new bridge involves removing the old bridge, taking an impression and fabricating a new zirconia bridge.
Photo of the bridge right after cementation. The material of choice was BruxZir, a top-of-the-line zirconia that is both bomb proof and aesthetically sufficient. This bridge will last the patient many decades to come.
Case 8
Contrary to popular belief, there’s not just one type of zirconia. There are many types of zirconia, and they all have their own strength and aesthetic properties. In general, 3Y zirconia is the hardest but opaquest zirconia (think toilet bowl white). 5Y zirconia is the softest but most translucent/ aesthetic zirconia. This case documents a 4Y zirconia (good middle ground) (Katana Zirconia | Kuraray Noritake)
Caries removal, build up, and crown preparation/ impression/ delivery performed by Dr. Brian L. Vu
Photo of the crown preparations right before impression. The patient had very large amalgam fillings with open contacts and recurrent decay. The solution is to remove the decay and prepare the teeth for beautiful zirconia crowns.
Photo of the two Katana Zirconia crowns right after cementation. Note how there is an increase in characterization, color, and translucency compared to the BruxZir bridge in case #7. IVY DENTAL understands that every case is different, and we choose the best material according to the patient’s functional and aesthetic demand.
IVY DENTAL also offers full mouth rehabilitation. Looking to completely change your smile? Click below to see some of our smile makeovers.


 
            
              
            
            
          
               
            
              
            
            
          
               
            
              
            
            
          
               
            
              
            
            
          
               
            
              
            
            
          
               
            
              
            
            
          
               
            
              
            
            
          
               
            
              
            
            
          
              