 
        
        
      
    
    Dental Hygiene
Routine Dental Checkups
A dental exam is vital to good oral hygiene and is the best way to detect problems at their earliest stages. Early detection and treatment save unnecessary discomfort, time and money.
The Academy of General Dentistry recommends checkups twice a year. Your oral hygiene needs change with age and the condition of your teeth and gums. Your dentist may recommend a checkup schedule that is more or less frequent than twice a year.
| ROUTINE EXAMS & CLEANINGS
During these appointments, our dentists will check your mouth to ensure you’re free from disease, and our hygienists will clean, buff, and polish your teeth. Your smile will look bright and beautiful, and we’ll remove the plaque and tartar that can contribute to oral health issues, bad breath, and more.
| FLUORIDE TREATMENT
During this treatment, a fluoride-rich liquid will be painted onto your teeth after a routine dental cleaning. This liquid is left in place for a few minutes, then rinsed away. The high fluoride content helps strengthen your teeth. This treatment is often recommended for children who are highly prone to cavities, but can also be used for adults.
| ORAL CANCER SCREENINGS
At each visit, our team does a medical history update and reviews any changes (even subtle ones). Even the smallest change in the soft tissues of your mouth will be examined closely. Early detection of oral cancer saves many lives each year, and our team is highly trained to detect even the smallest abnormality.
What to Expect
Your dental checkup includes:
- A visual exam of your mouth, face, jaw and neck 
- Digital diagnostics, as determined by your dentist 
- A gingival pocket exam 
- Dental cleaning 
- Comprehensive data capture in an electronic dental record 
Visual Examination
During a visual exam, your dentist will use high magnification loupes and lighting to see all surface areas inside your mouth. Your dentist looks not only for cracked and decayed teeth, but also for growths and sores on the roof and floor of your mouth, tongue, lips, gums, and the mucous membranes that line your cheeks and gums. Then your dentist will check the lymph nodes of your head, jaw and neck for pain, tenderness and flexibility.
Digital Diagnostics
- Digital x-rays: Digital X-rays detect dental problems that cannot be found during a visual exam. We use digital X-rays that provide instant results and emit 90 percent less radiation. Your dentist determines how often you need to have digital X-rays. 
- 3D Imaging: Three-dimensional imaging technology determines the precise position and shape of each tooth. Your dentist will determine whether the use of this technology is appropriate to aid the development of a dental treatment plan or to follow the progress of your dental treatment. 
Gingival Pocket Exam
Healthy teeth require healthy gums. A gingival pocket exam determines the presence or risk of gum (periodontal) disease.
What to Know:
- Each tooth sits inside a gingival pocket of gum tissue. Food debris and plaque naturally collect inside this pocket. 
- Daily tooth brushing and flossing remove food debris and plaque from the gingival pocket. If not removed, harmful bacteria penetrate the gumline and deepen the pocket. 
- As the depth of a gingival pocket increases, so does the risk of tooth damage and infection that leads to gum disease. 
- During your exam, a hand-held instrument is gently placed between gums and teeth (sulcus) to measure the depth of each pocket. 
- In its earliest stage, gum disease may be reversible. Since it rarely has symptoms of pain, it is possible to have gum disease and not know it. 
Professional Teeth Cleaning
Your teeth are cleaned using special instruments to remove plaque from above and below the gumline. Afterwards, your teeth are polished. Tooth polishing makes your teeth look and feel great. It also smooths tooth surfaces so plaque is less likely to accumulate.
Good Oral Hygiene
The key to healthy teeth and gums is keeping plaque and food decay from building up in your mouth. Plaque and food decay attract harmful bacteria that cause cavities, gum disease and persistent bad breath.
Your tongue attracts bacteria, too. During the normal process of eating, tiny fragments of food collect on your tongue. As these fragments decay, bacteria create a filmy white coating on the top of your tongue.
Practice the four-step routine to keep plaque and harmful bacteria from building up in your mouth.
Easy Four-Step Routine
To keep your teeth and gums healthy:
- Brush your teeth and use an antiseptic mouthwash twice daily (after breakfast and before bedtime) 
- Use dental floss daily 
- Clean your tongue regularly by using a toothbrush or a tongue scraper 
- See your dentist for routine dental checkups 
Benefits of Good Hygiene
When you practice good oral hygiene, you will:
- Have less plaque to remove during routine dental checkups, so professional cleanings will be faster and more comfortable 
- Minimize your need for dental procedures due to tooth decay or gum disease 
- Minimize your annual dental budget 
- Feel healthier 
- Enjoy fresher breath 
- Be more confident about your smile 
Infants & Small Children
The American Academy of Pediatrics recommends that a child's first visit to the dentist be around age three unless any of these dental health risk factors exist:
- Sleeping with a cup or bottle 
- Thumb sucking 
- Teeth staining 
- Down Syndrome 
Children's Oral Hygiene
When your child's teeth begin to erupt, wipe them daily with a moist washcloth to remove tooth plaque.
As your child grows more teeth, use a soft child's toothbrush with non-fluoride toothpaste (like Baby OraGel) until your child is able to spit out the toothpaste.
When your child is ready to use fluoridated toothpaste, use only a small pea-size amount on the toothbrush. Swallowing too much fluoridated toothpaste can lead to staining of children's teeth (dental fluorosis).
Still Not Convinced to Book an Appointment? Are You a Deep Cleaning Doubter?
Why should I get a deep cleaning? I’m not in any pain, my teeth aren’t loose, and deep cleanings cost more than a regular cleaning. I feel like I’m being swindled.
First, it is important to understand that periodontal disease is like high blood pressure - it is a silent killer. Much like high blood pressure, you don’t notice the symptoms or effects of gum disease until it’s too late.
Secondly, when you are treatment planned a deep cleaning, you ALREADY have some form of gum or bone disease (gingivitis/ periodontitis). Deep cleanings prevent/ halt the progression of gum disease and bone loss by removing tenacious plaque/ tarter BELOW the gums, where bacteria can do the most damage. Regular cleanings only remove plaque and build-up above the gums.
Overall, deep cleanings are the MOST CONSERVATIVE way to prevent/ halt the progression of periodontal disease. Regular cleanings are INEFFECTIVE in combating periodontitis, meaning that if you “only want a regular cleaning,” after being diagnosed with periodontitis, you are actually doing yourself a disservice yourself in the long run.
Real Life Cases of Deep Cleanings
Follow these real life cases to learn the effectiveness of deep cleanings.
Deep cleanings performed by Dr. Brian L Vu
Case 1
Lots of tarter build up on this middle aged female patient. Most of the time, tarter accumulate in places you DON’T see - they tend to accumulate on the tongue side of the lower front teeth.
This is after tarter removal. Take a look at how clean and naked the teeth look! You can practically fly a miniature plane through the areas of gum/ bone loss. It will take a couple of weeks for gums to heal and tighten up after the deep cleaning. Moral of the story is to brush/ floss your teeth and visit your dentist regularly.
Case 2
A picture of a patient with poor oral hygiene who hasn’t been to the dentist in over SEVEN years. Please note the inflamed gums and tarter build up.
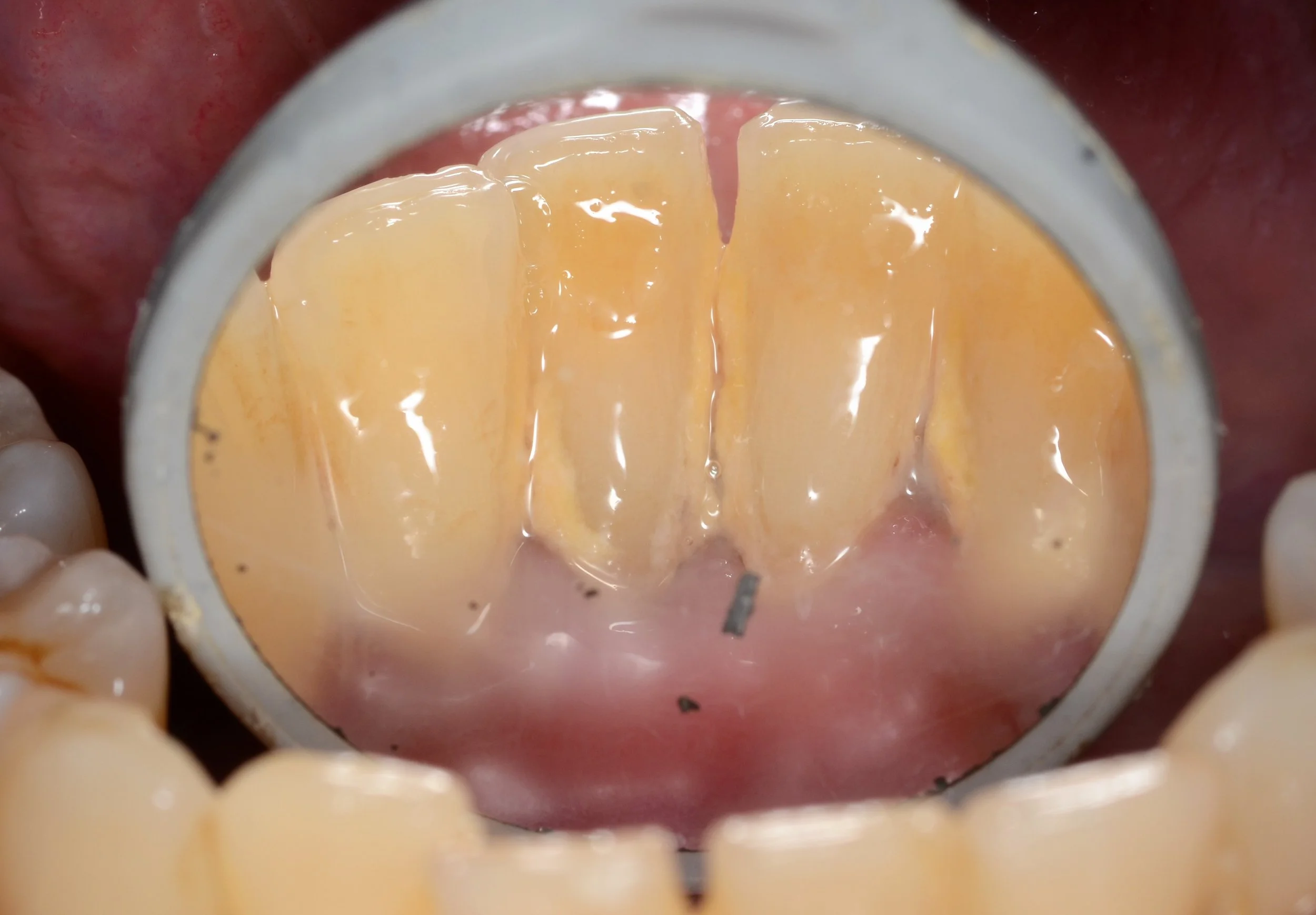
A close up shot of the tongue side of the patient’s lower front teeth.
Deep cleaning halfway done - due to the extensive nature of the patient’s gum disease, it was decided to deep clean the patient’s LEFT SIDE ONLY this visit. The patient will come back at another appointment to finish his deep cleaning on the right side.
We can clearly see the difference between the teeth that have been deep cleaned and teeth that haven’t. The teeth that are clean have this smooth, glass like appearance while the dirty teeth have this rough, yellow, cement like structure attached to them.


 
            
              
            
            
          
               
            
              
            
            
          
               
            
              
            
            
          
               
            
              
            
            
          
               
            
              
            
            
          
              